Dental Service

Zirconia  |  Emax  |  Implants  |  Bonded/Gold  |  Cad Cam  |  Prosthetics  |  Orthodontics  |  Sports  |  Dentures/Chrome  |  Kiori  |  Dentuvo  | 

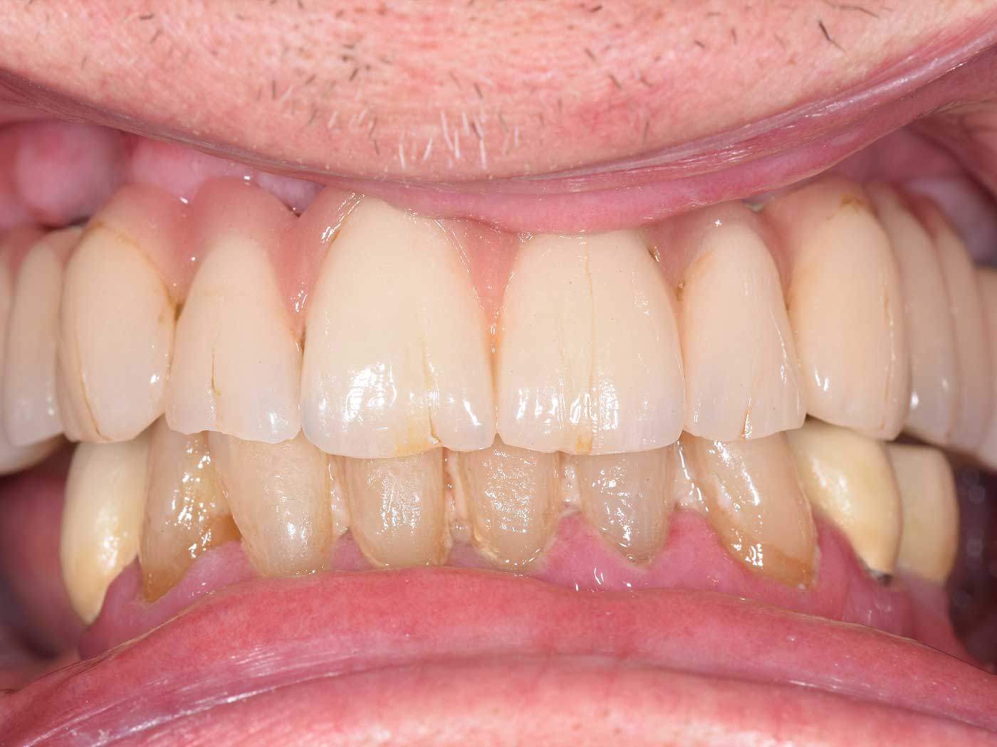
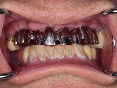
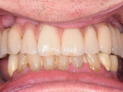
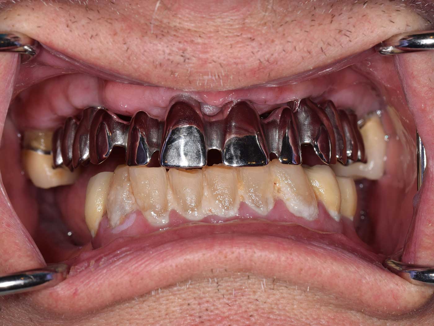
Implants

Here at Precedental we pride ourselves on being at the forefront of implant dentistry, with a commitment to eductaion and innovation to ensure the best possible results for both patients and clients alike.

  • We have over 20 years experience of working with all major implant systems
  • We use a combination of experience, product knowledge and cutting edge digital technology to deliver the finest quality restorations
  • We are in communication with clients at all stages of the Implant process to ensure that the expectations of patients can be met
  • Throughout the manufacturing process only the highest quality materials are used ensuring quality and longevity of the final restoration
  • We use several milling centres around the world for our frameworks for implant work
  • We can integrate different materials within the implant workflow including E.Max and Zirconia

We are Straumann Platinum accredited technicians »

 

Please call or email us for further details:
01384 444 656
precedental@als-dental.com

The dental Implant systems we regularly work with include:

3i
3i
3i
3i
3i
3i
3i
3i

Services

We are specialists in the following dental services. Please click an option below for full details:

 

Zirconia

Emax

Implants

Bonded/Gold

Cad Cam

Prosthetics

Orthodontics

Sports

Dentures

Kiori - ALS Dental

Dentuvo - ALS Dental